Понятие «остеохондроз» является неотъемлемой частью существования едва ли не каждого человека преклонных лет. Немногие, однако, задумываются о том, что проблемы с позвоночником могут развиваться не только у людей, но и у животных. О том, как часто от остеохондроза страдают собаки, для каких пород заболевание является наиболее характерным, каковы его причины и симптомы — далее в обзоре.
Что такое остеохондроз у собак
Остеохондроз может развиваться у собаки в любом суставе или межпозвоночном диске. С точки зрения физиологии заболевание проявляется в том, что соединительные ткани, из-за низкого поступления в них питательных веществ, теряют эластичность и начинают повреждаться даже при самом незначительном механическом воздействии. В самом хряще происходит значительное нарушение баланса минеральных веществ, разрушаются межпозвоночные диски, а затем и сам хребет.
Одной из разновидностей остеохондроза у собак является расслаивающийся остеохондрит. При этой форме патологии в зоне роста суставного хряща происходит аномальное разрастание клеток, в связи с чем он утолщается, но при этом остаётся мягким. В таком состоянии хрящ не может выполнять свою главную функцию — обеспечивать нормальное скольжение между входящими в сустав костями. За счёт неправильной конфигурации в суставном хряще нарушается кровоснабжение, что только усугубляет дегенеративные процессы.

От усиленного трения неотвердевшая и лишённая надлежащего питания хрящевая ткань всё больше истончается. Поначалу это приводит к тому, что от любого напряжения в хряще возникают повреждения и микротрещины, затем, вследствие попадания в эти полости синовиальной жидкости. Хрящевую ткань начинает как бы расслаивать, рассасывавать, вплоть до формирования отдельных осколков. Такие фрагменты именуют «суставной мышью» или «хрящевым лоскутом». При движении они вызывают у животного такие же ощущения, как острый камешек, попавший в ботинок, во время ходьбы.
По мере дальнейшего прогрессирования патологии «суставная мышь» продолжает разрушаться, в результате расслаивающийся остеохондрит переходит в следующую фазу развития — остеоартроз.
Расслаивающийся остеохондрит чаще всего развивается у собак в плечевом суставе (почти ¾ всех зарегистрированных случаев), однако может также страдать локоть, колено и скакательный сустав — 11, 4 и 9% случаев соответственно.
Почему развивается заболевание
Если у людей остеохондроз является болезнью пожилого возраста, то у собак от этой патологии, напротив, страдают в основном молодые животные. Как правило, патологии подвержены крупные и гигантские породы, для которых характерен быстрый рост костей. Дегенеративные изменения суставов у этих особей диагностируют уже на первом году жизни — обычно между 4-м и 10-м месяцем от рождения.
В группу риска прежде всего входят:
- ротвейлеры;
- доги;
- ирландские волкодавы;
- английские сеттеры;
- бобтейлы;
- лабрадоры и ретриверы;
- немецкие овчарки;
- сенбернары;
- ньюфаундленды;
- кане-корсо;
- бернские зенненхаунды;
- метисы указанных пород.
Сказанное позволяет предполагать, что причиной остеохондроза у собак является наследственная (породная) предрасположенность. Вероятнее всего, так оно отчасти и есть, однако большинство учёных считают, что патология имеет намного более сложную этиологию. Иными словами, вероятность развития дегенеративного поражения хрящей и позвоночных дисков зависит от комбинации многих факторов, среди которых, в частности, называют:
- неправильное питание (в частности, переизбыток кальция);
- последствия травмы или острого воспалительного процесса (инволютивная теория);
- анатомическая конформация, или дизонтогенетический фактор (слишком быстрый рост, обусловливающий «отставание» и «разбалансировку» между отдельными частями скелета);
- избыточный вес;
- чрезмерные физические нагрузки;
- врождённые аномалии (особенно вследствие неграмотной селекции, внутривидового и близкородственного скрещивания);
- функциональные расстройства;
- инфекционные заболевания;
- неправильный обмен веществ;
- аутоиммунные патологии;
- гормональные особенности (замечено, что чаще всего от дегенеративных проблем с позвоночником страдают кобели);
- нарушение работы сердечно-сосудистой системы;
- экологический фактор (загрязнённый воздух, химические примеси в пище, некачественная вода).

Как проявляются симптомы
Как и большинство патологий опорно-двигательного аппарата, имеющих не травматическую или воспалительную, а дегенеративную природу, остеохондроз протекает неспешно и на начальных этапах своего развития практически никак себя не проявляет. Несмотря на то, что неправильное формирование сустава начинается у собаки практически с момента рождения (а иногда и в перинатальный период), первые симптомы болезни появляются обычно не ранее 4-месячного возраста, когда проблема уже приобрела угрожающую форму.
Кроме того, с учётом локализации и характера патологии у каждой собаки признаки остеохондроза имеют свои индивидуальные особенности, от полного отсутствия изменений в поведении животного до заметной хромоты, неуверенной, «пьяной» походки, заваливания на бок в положении сидя с характерным выставлением одной лапы для упора (при поражении суставных хрящей) или потери чувствительности конечности, вплоть до полного её отказа (если дегенеративные изменения затронули межпозвоночные диски).
Поскольку остеохондроз у собак так или иначе связан с нарушением двигательной функции, главным симптомом заболевания является хромота, но степень её тяжести, время проявления (после физической нагрузки, отдыха, постоянно) и другие особенности бывают абсолютно разными.
Об остеохондрозе у собаки могут свидетельствовать и такие «маркеры»:
- болезненность при движениях в первые моменты после длительного отдыха (так называемые стартовые боли);
- необычная постановка лап при ходьбе (разведенные или прижатые к корпусу локти, вывернутые стопы, выбрасываемые в сторону или развёрнутые наружу грудные конечности и пр.);
- смещение центра тяжести в сидячем, стоячем положении или в движении (например, заваливание вперёд с подволакиванием задних лап);
- отёчность или припухлость конечности в области сустава;
- искривление позвоночника;
- атрофия мышц задних конечностей;
- ассиметричное развитие лап (одна конечность короче или тоньше другой);
- характерный хруст (крепитация) в суставе во время движения.
- Проявляет себя остеохондроз и в поведении питомца. При неправильном развитии или разрушении хрящей и суставов собака быстро утомляется, испытывает трудности при ходьбе, особенно в гору и под гору (на подъём и на спуск), долго подбирает позу, прежде чем, наконец, улечься и т. п.

Как проходит диагностика
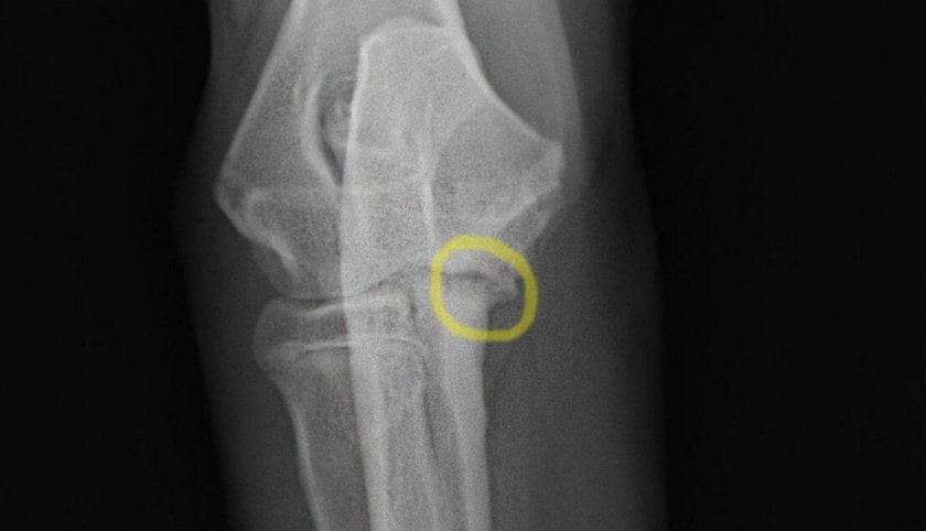
Остеохондроз относится к той небольшой категории заболеваний, для которых понятие «диагностика» предполагает выполнение вполне единственно достоверного вида обследования — рентгенографии.
Конечно, первоначальным этапом изучения проблемы является общий осмотр «пациента», при проведении которого ветеринар прощупывает кости и суставы, обращая особое внимание на такие важные признаки, как припухлость, похрустывание (в т.ч. характерный «симптом щелчка»), а также боль, испытываемая собакой в определённых участках и положениях тела. Например, при попытке вытянуть переднюю лапу вдоль туловища хрящевой лоскут неизбежно попадает в полость плече-лопаточного сустава, что вызывает резкий приступ боли. Этот эффект хорошо известен специалистам, а потому всегда используется при первоначальной диагностике — так называемый тест двуглавого мускула.
Помимо осмотра собаки, для специалиста важно получить некоторые уточняющие сведения от её владельца. Значение может иметь каждая мелочь, в частности:
- когда и при каких обстоятельствах впервые была обнаружена хромота или другие тревожные признаки;
- как питается животное (натуральный или готовый корм, использование минеральных и витаминных добавок и т. п.);
- имели ли место какие-либо травмы в жизни питомца (при положительном ответе необходимо выяснить все детали события, в т.ч. ход последующего восстановления животного);
- имелись ли патологии опорно-двигательного аппарата в родословном ряду собаки (если имеется такая информация) и т. п.
В случае, если есть хоть малейшее подозрение на дегенеративные изменения хрящевой ткани или другие патологии опорно-двигательного аппарата, рентген является обязательным.
Поскольку остеохондроз, с одной стороны, далеко не всегда можно прощупать и тем более увидеть «невооружённым глазом», а, с другой стороны, патология чаще поражает один сустав, а не оба сразу, для правильной диагностики, согласно утверждённой и общепринятой методики, необходимо получить качественные и подробные снимки двух зеркальных суставов и затем сравнить их между собой. Каждая область просвечивается в двух перпендикулярных проекциях — обычно для этого выполняются фронтальный и боковой снимки.

Чтобы получить полное представление о состоянии костей и хряща, сустав необходимо привести в определённое положение, причём, как правило, оно является именно тем, в котором собака испытывает максимальную боль. При этом очень важно, чтобы животное во время процедуры находилось в абсолютно неподвижном состоянии, иначе снимки получатся нечёткими. Именно поэтому не стоит удивляться тому, что рентгенография у собак проводится под наркозом. Большинство современных клиник используют с этой целью седацию, т.е. наиболее мягкую и безопасную форму общей анестезии, но даже в этом случае определённый риск для жизни и здоровья питомца сохраняется, а потому хозяину стоит уточнить у доктора, какой именно препарат он будет применять и имеются ли в учреждении все необходимые средства для обеспечения безопасной реверсии животного (выведения из наркоза).
Обязательность проведения рентгенографии не исключает возможности последующего назначения дополнительных видов обследования с целью уточнения первоначального диагноза. Это, например, может быть:
- миелография — особый метод визуализации костного мозга, предполагающий введение в субарахноидальное пространство через специальную иглу контрастного вещества, позволяющего получить более чёткие снимки (применяется при проведении рентгеноскопии, флюороскопии или магнитно-резонансной томографии);
- компьютерная томография — современный вид использования рентгеновских лучей, обеспечивающее не плоское, а объёмное изображение;
- артроскопия — обследование состояния сустава миниатюрной камерой, которая вводится в поражённую область через небольшой разрез.

Лечение остеохондроза у собак
Единой схемы лечения остеохондроза у собак не существует. Терапия всегда подбирается индивидуально, исходя из множества исходных факторов, в т.ч.:
- возраст собаки;
- состояние её здоровья;
- локализация проблемы;
- стадия заболевания;
- тяжесть симптомов и т.п.
Существует четыре способа лечения дегенеративного поражения позвоночника и суставов, при этом не исключён вариант их комбинаторного использования:
- Хирургическое вмешательство.
- Медикаментозная терапия.
- Физиотерапия.
- Диетотерапия.
Наиболее эффективным считается хирургический метод лечения. Для этого существует множество методик, перечислять которые не имеет смысла ввиду неоднородности самого понятия «остеохондроз». Например, при расслаивающемся остеохондрите может быть выполнена артротомия, в процессе которой хрящевой лоскут отрезают перпендикулярно подхрящевой кости и тщательно выскабливают поражённый участок. После такой процедуры за счёт естественной стимуляции выхода стволовых клеток в месте дефекта образуется костная мозоль или фиброзный хрящ — своего рода естественная замена нормального сустава, при которой, хотя двигательная функция может быть восстановлена не полностью, но животное больше не будет испытывать боли во время движения.

Медикаментозное лечение остеохондроза обычно не ставит перед собой цели полного излечения, но является более дешёвым и менее рискованным способом помочь питомцу избавиться от боли. Кроме того, на ранних этапах обнаружения заболевания грамотно подобранные лекарственные препараты могут значительно замедлить процесс дегенеративных изменений, что также расценивается как хороший результат.
В частности, при различных вариантах остеохондроза собаке могут быть назначены:
| Вид лекарственного препарата | Принцип действия и показания к использованию | Примеры медикаментов |
| Анальгетики | Снятие болевого синдрома (симптоматическое действие) | Кетанов, Кодеин, Имипрамин, Элавил |
| Противоотёчные средства | Уменьшение скопления жидкости в поражённой ткани (симптоматическое действие) | Дексаметазон, Дексафорт |
| Спазмолитики | Снижение излишнее напряжение мышц (симптоматическое действие) | Но-шпа, Папаверин, Баралгин |
| Противовоспалительные нестероидные препараты | Торможение разрушительных процессов в суставах | Флуниджект, Карпрофен, Фирококсиб, Цимикоксиб |
| Хондропротекторы | Восстановление хрящевой ткани | Хондроитин сульфат, гидролизированные гликозаминогликаны |
| Глюкокортикоиды | Улучшение кровообращения в тканях | Кортизол, Кортизон, Гидрокортизон, Кортикостерон |
| Антибиотики | Обивают патогенную микрофлору, которая может развиваться в суставе в связи с его денегеративным разрушением, в т.ч. появлением микротрещин в хрящевой ткани | Линкомицин, Бициллин |
| Нутрицевтики | Кормовые добавки, тормозящие развитие дегенеративных изменений в хрящевой ткани | Полиненасыщенные жирные кислоты, биоактивированный кремний, витамин С, другие витаминные и минеральные добавки |
| Анаболики | Способствуют интенсивному наращиванию мышечной массы | Альдостерон, Дезоксикортикостерон |
Среди основных физиотерапевтических процедур и манипуляций, показанных при остеохондрозе, можно назвать:
- магнитотерапию (с использованием аппарата УМИ-В-05);
- лазеротерапия;
- теплолечение (озокерит, парафин);
- иглорефлексотерапия;
- мануальная терапия;
- плавание и водная гимнастика;
- массаж и гидромассаж.
Как правильно ухаживать за больной собакой
Собака, страдающая от остеохондроза, конечно, нуждается в особом уходе. В первую очередь это касается двух моментов, подлежащих коррекции, — рацион и физические нагрузки.
В отношении питания важно следить, чтобы животное не набирало лишнего веса, а, при необходимости, даже немного похудело. Однако поскольку интенсивная активность питомцу в этот период противопоказана, добиться такого результата можно исключительно за счёт снижения калорийности продуктов, входящих в рацион собаки. Белковая составляющая в реабилитационный период также должна быть уменьшена в пользу углеводов — круп и овощей.

Если болезнь была обнаружена на ранней стадии, ветеринарный врач может рекомендовать владельцу усилить физическую нагрузку на больную конечность. Но в большинстве случаев применяется другая методика: животное должно двигаться, но нагрузка при этом дозируется таким образом, чтобы исключить атрофирование мышц и вместе с тем не допустить дальнейшего разрушения и без того проблемных соединительных частей скелета. Комплекс рекомендуемых действий и упражнений в каждом конкретном случае подбирается ветеринарным ортопедом, хотя, как правило, собаке при остеохондрите полезно ходить, плавать и бегать трусцой, но прямо противопоказано прыгать и выполнять любые физические действия на скорость, ловкость или силу.
В дальнейшем, по мере стабилизации состояния опорно-двигательного аппарата у питомца, упражнения постепенно усложняют с одновременным увеличением времени и интенсивности занятий.
Прогноз выздоровления
К сожалению, применительно к остеохондрозу и всем заболеваниям, которые входят в это широкое определение, говорить о перспективе полного выздоровления очень сложно. Современная медицина не умеет поворачивать вспять прогрессирующие процессы старения тканей и заставлять неправильно развивающийся орган приобретать предписанную природой конфигурацию, структуру и прочие качественные характеристики. Но и назвать остеохондроз абсолютно неизлечимым тоже нельзя. Вероятность значительного улучшения состояния питомца существует, причём в определённых случаях реабилитация предполагает достижение такого результата, при котором у собаки полностью восстанавливается функция поражённого сустава и абсолютно исчезают болевые ощущения. По сути, в данном случае это и можно назвать полным выздоровлением.

Так, например, полномасштабное рентгенологическое обследование трёхмесячного щенка в сочетании с грамотной работой ортопеда, назначающего лечение, а также ответственностью владельца животного, выполняющего все рекомендации специалиста, с высокой долей вероятности позволяет рассчитывать на то, что проблема будет блокирована на той стадии, когда необратимые вторичные дегенеративные изменения ещё не затронули поражённый участок. Иногда, правда, крайне редко, выявление неправильного развития костей, пока они ещё продолжают расти и формироваться, позволяет врачу совершить чудо — откорректировать намечающуюся патологию и, таким образом, полностью спасти собаке сустав.
И всё же в основном о подобных перспективах речь не идёт. Ортопедические процедуры призваны в долгосрочной перспективе избавить животное от боли и выраженной хромоты, не более того. В зависимости от метода лечения и исходного состояния питомца реабилитация может длиться от нескольких недель (при оперативном вмешательстве) до нескольких месяцев. Однако, поскольку проблема как таковая никуда не исчезает (даже в случае полной замены поражённого сустава эндопротезом животное не может считаться абсолютно здоровым), остеоартриты и артрозы, вероятнее всего, будут сопровождать собаку всю оставшуюся жизнь. Поэтому таким животным необходим постоянный дополнительный уход, включающий в себя:
- контроль за сохранением нормального веса тела;
- недопущение переохлаждения;
- избежание чрезмерных физических нагрузок;
- регулярные посещения ортопеда.
Меры профилактики
Профилактика такого многофакторного заболевания, как остеохондроз, — задача очень сложная. Какие бы усилия не предпринимал в этом направлении владелец, полностью предохранить своего питомца от дегенеративных патологий просто невозможно. Но значительно уменьшить риск из развития и, главное, тяжесть последствий, если такое всё же случится, — цель вполне достижимая. Сформулировать конкретный план действий на этом пути не так уж сложно, достаточно вспомнить основные причины, которые могут вызывать остеохондроз или выступать триггерами для запуска патологических изменений в костной и хрящевой ткани.

Стандартные рекомендации в этом плане сводятся к следующим правилам:
- Корм должен быть качественным и сбалансированным. Любые витаминные и минеральные добавки в питании собаки первого года жизни без прямого назначения ветеринара использоваться не должны.
- Избыточный вес — серьёзная нагрузка на двигательный аппарат. Здоровый щенок должен иметь подтянутый живот и хорошо обозначенную талию.
- Двигательная активность полезна для собак, но пока скелет у щенка не сформировался, с физическими нагрузками нужно быть очень осторожным.
- Ранняя диагностика. Поскольку перспектива лечения остеохондроза напрямую зависит от момента выявления патологии, при любых подозрительных изменениях двигательной функции животное нужно как можно быстрее обследовать.
Остеохондроз — заболевание, имеющее очень сложную этиологию, суть которой для современной медицины до сих пор остаётся загадкой. В большинстве случаев полностью вылечить собаку с такой патологией, но своевременное обнаружение проблемы и правильно подобранная терапия, в сочетании с любовью внимательного хозяина, может привести к тому, что животное просто забудет о том, что с его позвоночником или суставами что-то не так.
помогла
