Многие опытные собачники за всю жизнь могут ни разу не столкнуться с таким видом обследования собак как рентген на дисплазию, а некоторые из них даже не услышат о подобном методе исследования. Он действительно встречается намного реже банального анализа крови или мочи, но в отдельных ситуациях без таких данных просто не обойтись. Что же из себя представляет упомянутая рентгенограмма, как её проводят и что нужно знать о нюансах её расшифровки — читайте далее.
Когда нужно делать рентген на дисплазию у собак
Дисплазия локтевых или тазобедренных суставов у собак не зря считается серьёзным нарушением в опорно-двигательной системе питомца, с которой обычно сталкиваются крупные и тяжёлые животные. Её тяжело лечить и на определённом этапе жизни, собаке, скорее всего, понадобится хирургическое вмешательство, предупреждающее полное разрушение костной ткани. Только так питомец не будет мучиться от болей и сможет сохранить свою активность.

Дисплазия у собак — наследственное заболевание, часто встречающееся у отдельных пород. По этой причине, чтобы получить допуск к племенному разведению, заводчик обязан предоставить сертификат, подтверждающий отсутствие нарушений у родительской пары. В большинстве ситуаций это и есть основной причиной для прохождения собакой рентгена и получения соответствующего снимка.
В РКФ (Российской кинологической федерации) определён конкретный список пород, для которых данная процедура обязательна:
Минимальный возраст для обследования представителей крупных пород — 12 месяцев, а гигантских (например, догов или мастифов) — 18 месяцев.
Что показывают снимки тазобедренных суставов
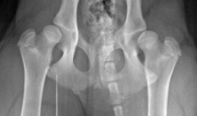
Диагноз «дисплазия тазобедренного сустава» никогда не ставится «на глаз». Получив рентгенографические снимки, ветврач проводит детальные расчёты, вычисляя соответствие поверхности вертулужной впадины и головки бедренной кости собаки, тангенциальный угол и индекс внедрения кости во впадину. Вместе с тем оценивается её форма и строение, ширина и равномерность щели сустава, а также подтверждается отсутствие хирургического вмешательства для улучшения изначальных характеристик.
Чтобы определить, находятся ли полученные результаты рентгенограммы в пределах нормы, для начала нужно знать, что означают основные буквенные и цифровые обозначения. Степеней классификации результатов тут несколько, и для суставов бедра (HD) это:
- А — указывает на отсутствие любых признаков возможной патологии;
- В — нарушений практически нет;
- С — лёгкое нарушение;
- D — дисплазия есть, но находится в допустимых приделах;
- Е — серьёзное нарушение.
Для суставов локтевой зоны (ED) расшифровка будет иметь такой вид:
- 0 — нарушение отсутствует;
- 1 — незначительные признаки артроза, с остеофитами, шириной не больше 2 мм;
- 2 — допустимые отклонения от нормы, когда наросты на тканях при патологии не превышают 2–5 мм;
- 3 — сильное патологическое изменение тканей (больше 5 мм).
Согласно Положению «О племенной работе» РКФ, к дальнейшему разведению допускаются животные со степенью HD — А, В, С и ED — 0, 1, 2.

Как проводится процедура
Рентгенологическое исследование на определение склонности к развитию дисплазии состоит из двух основных этапов: подготовки и непосредственно самой процедуры. Перед рентгеном врач должен обследовать собаку и идентифицировать её по имеющемуся клейму или чипу. За 8–10 часов начала не рекомендуется кормить животное, а за сутки до этого стоит минимизировать физические нагрузки и проследить, чтобы эмоциональное состояние питомца оставалось стабильным. Во время визита в ветеринарную клинику с собой нужно иметь родословную собаки и намордник, если она может повести себя агрессивно.
Достоверность результатов исследования напрямую зависит от спокойствия и максимального расслабления собаки, поэтому через внутривенный катетер ей вводится седативное средство. После этого питомца кладут на спину с вытянутыми параллельно конечностями и делают снимок правой и левой стороны.
Рентгенографический снимок локтевых суставов выполняется в двух положениях: медио-латеральной проекции (сустав, согнутый под углом в 45 градусов) и кранио-каудальной, когда собака лежит с параллельно вытянутыми вперёд лапами. Исследование правых и левых суставов выполняется поочерёдно.
После непродолжительного периода релаксации в комнате отдыха, животное быстро восстанавливается и через 1-2 часа способно самостоятельно покинуть клинику. Врачу остаётся лишь заполнить все сопроводительные документы для РКФ и записать цифровые снимки на диск для передачи владельцу.

Требования к рентгенограммам
Чтобы полученные снимки могли послужить доказательством отсутствия проблем с суставами, они должны отвечать нескольким основным требованиям:
- показывать чёткие контуры костей и их архитектуру, в том числе верхний край вертлужной впадины;
- отображать тень таза и коленных суставов, причём так, чтобы изображение левого и правого подвздошного гребня находились на одном уровне, а тени чашечек колен располагались напротив блока.
Если снимки будут выполнены с нарушениями вышеуказанных норм, международный сертификат на них выдаваться не будет. За проведение повторной диагностики снова придётся платить деньги.
Другие методы диагностики дисплазии у собак
Описанное рентгенологическое исследование является самым достоверным и доступным способом для определения склонности собаки к дисплазии суставов. Помимо визуального осмотра и сбора анамнеза, именно оно применяется в обследовании чаще всего. Однако, не стоит исключать возможность проведения динамического и статического УЗИ, которое также способно предоставить определённую информацию о состоянии суставных тканей собаки. Обычно в этих целях задействуется беговая дорожка, поэтому далеко не каждая ветеринарная клиника позволит себе приобрести всё необходимое оборудование.
Конечно, дисплазию невозможно полностью вылечить, но чем раньше вы обнаружите проблему, тем больше будет шансов на её успешное сдерживание, что позволит сохранить активность животного и избавит домашнего любимца от болей на долгие годы. Будущее благополучие собаки стоит потраченных на диагностику сил и денег.
помогла
